Клінічний випадок: д-р Джованні Моліна Луго, Мехіко
Вступ
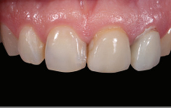
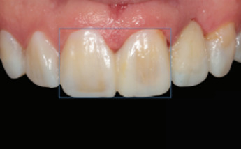
Пацієнт звернувся зі скаргами на незадовільний вигляд реставрацій на 9 та 10 зубах, а також з бажанням покращити свою посмішку. Було ухвалено план лікування з видаленням 10-го зуба, негайною імплантацією та тимчасовою реставрацією.
Для тимчасової реставрації використовувався матеріал 3M™ Protemp™ 4, що забезпечував:
функціональність на етапі загоєння,
формування майбутньої усмішки,
адаптацію ясен після встановлення абатмента.
Діагностика та планування

Мал. 1: Початкова клінічна ситуація – незадовільні реставрації та усмішка.

Мал. 2: КТ показує потребу в негайному встановленні імпланта на 10 зубі
Хід лікування

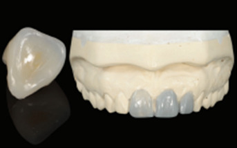
Рис. 3: Діагностичний восковий зліпок і лабораторна тимчасова коронка з Protemp™ 4

Рис. 4: Встановлення імпланта одразу після видалення зуба

Рис. 5: Тимчасова коронка з Protemp™ 4 — негайна функція

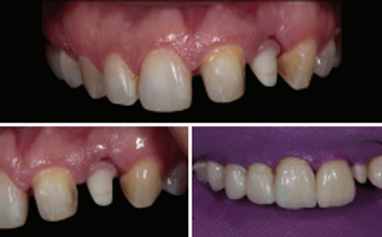
Рис. 6: Загоєні тканини через 3 місяці
Етап цифрового планування

Рис. 7: Цифровий дизайн усмішки — рішення реставрувати всі передні зуби

Рис. 8: Повний діагностичний восковий зліпок

Рис. 9: Одноетапне зняття відбитку з Protemp™ Soft Monophase
Техніка і кінцевий результат

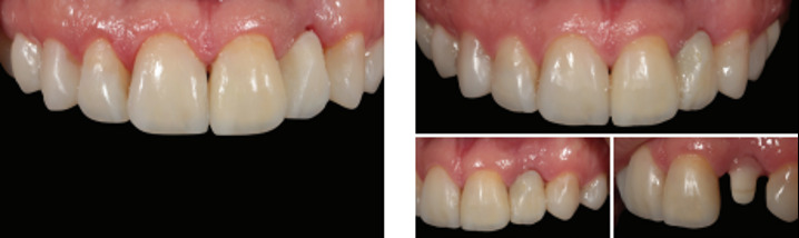
Рис. 10: Тимчасовий макет передніх зубів

Рис. 11: Модель знімних кукс для точності

Рис. 12: Надтонкі склокерамічні вініри з лабораторії

Рис. 13: Фіксація вінірів на 3M™ RelyX™ Veneer Cement + абатмент

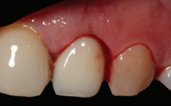
Рис. 14–15: Тимчасова реставрація на імпланті та стан ясен через тиждень
Фінальні етапи

Рис. 16–18: Виготовлення та встановлення коронки на імплантат

Рис. 19–20: Адгезивна фіксація з 3M™ Single Bond Universal + RelyX™ Ultimate

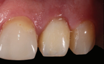
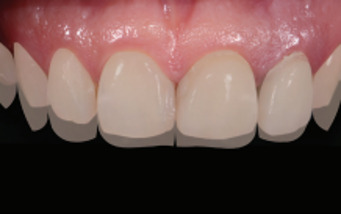
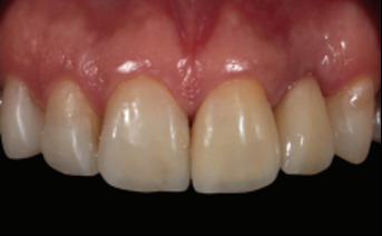
Рис. 21: Остаточний вигляд реставрації
Висновок
Комбінація цифрових технологій, якісних матеріалів від Solventum, правильного планування і досвіду лікаря дозволили досягти естетичного, функціонального і довготривалого результату.
Замовити матеріали від Solventum Protemp™, Soft Monophase , Impregum, RelyX™ Veneer Cement, Single Bond Universal, RelyX™ Ultimate можна в мережі магазинів компанії Укр-Медмаркет.