Загальновідомо, що золотим стандартом в лікуванні ран явлються тканинні біологічні замінники. Це алотрансплантати, ксеноімплантати, оболонки плаценти, тощо.
На сьогодні, при лікуванні ран різного генезу широко використовують ксеногенні тканини, особливо ксенодермоімплантати із тканин свині, виготовлені з використанням технології кріоконсервування у рідкому азоті та ліофілізації і дозволені до застосування в медичних закладах України.
Застосування вказаного біологічного покриття дозволило суттєво зменшити частоту ускладнень у процесі лікування ран.
В останні роки проведені дослідження можливостей використання ксеногенних тканин в стоматологічній практиці. Досліджено ксеноімплантати дерми, перикарда, очеревини та інші, виготовлені за технологією кріоконсервування, ліофілізації і що призначені як пластичний матеріал для тимчасового закриття ранових дефектів (шкіри, слизових оболонок, тощо), ізолюючих мембран, що імплантуються людині, заміщення дефектів тканин і їх укріплення.
Проведені доклінічні та клінічні дослідження. Експериментально на свинях вивчено терміни розсмоктування ксеногенних тканин: дермального шару шкіри, очеревини, перикарда при підшкірному, підфасціальному і підм'язевому введенні ксеноімплантата в залежності від його товщини.
Досліджено амінокислотний, мікроелементний склад, наявність біологічно активних речовин (факторів росту) у кріоліофілізованих ксенотканинах.
Позитивними властивостями мембран із дерми, перикарду чи очеревини є простота їх використання, оптимальне загоєння рани, природний біомеханічний вплив, наявність в них міцної багатовекторної колагенової сітки яка забезпечує довготривалу бар'єрну функцію протягом 3-6 місяців.
Властивості мембран:
- тривала бар'єрна функція: ~ 12-24 тижнів
- натуральна структура і маленька товщина
- простота застосування (можна використовувати як в сухому, так і у вологому стані)
- висока еластичність і міцність
- відмінна адаптація до контурів поверхні
- відсутність злипання після регідратації
- швидка реваскуляризація завдяки тривимірній структурі
- гарна міцність і опірність розриву
Наприклад:
Рецесія ясен – патологічний процес, що супроводжується зниженням рівня ясенного краю та оголенням кореня зуба. На даний час хірургічний метод є основним в лікуванні даної патології.
Більшість варіантів хірургічного лікування передбачають використання аутотрансплантатів (пересадка тканин пацієнта) чи ксеноімплантатів (тканин, взятих у представників іншого біологічного виду). Використовується широко направлена тканинна регенерація із застосуванням резорбуючих та нерезорбуючих мембран.
Застосування методик оперативного лікування з використанням аутотрансплантатів та нерезорбуючих мембран передбачають додаткову хірургічну травму, внаслідок забору аутотрансплантату чи видалення мембрани, яка не резорбується. Тому пошук нових методів і способів лікування є на сьогоднішній день актуальною проблемою.
Досліджено можливості використання ліофілізованих ксеноімплантатів дерми, очеревини, перикарда свині в якості резорбуючих мембран під час стандартного протоколу лікування ясенних рецесій за методикою направленої тканинної регенерації.
Методика операції: під місцевою анестезією проводять внутрішньоборозенний розтин ясен в ділянці уражених зубів з подальшим відшаруванням слизово-окісного клаптя. Мембранам з ліофілізованої ксенотканини товщиною 1,0 мм надано форму, яка відповідає операційному полю. Шовним вікрилом 6-0 до окістя фіксовано ксеномембрану. Накладено одиночні вузликові шви на слизовий клапоть. Через 7 діб знімають фіксуючі шви. Рани загоювалися первинним натягом, слизова блідо-рожевого кольору, що означає добру васкуляризацію клаптя і стан тканин під ним.
Результати дослідження: Пацієнтів обстежували на 5-й, 7-й, 10-й та 14-й день після операції та через 3 місяці. Спостерігалось потовщення біотипу ясен, збільшення товщини ясенного прикріплення на 0,5-0,7 мм. Проведений об’єм досліджень свідчить про стабілізацію патологічного процесу, відсутність подальшого прогресування рецесій ясен.
Висновок: Кріоліофілізовані ксеноімплантати дерми, очеревини, перикарду свині можна успішно застосовувати в якості мембран при операціях репозиції ясен за методикою направленої тканинної регенерації.
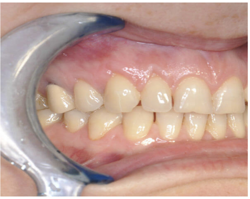
Клінічний випадок – наявність ясенних рецесій в ділянці 12-15 зубів

Проведено зигзагоподібний розріз слизової, розділено слизово-окісний клапоть, та до окістя підшито мембрану з ксенодерми

Рану закрито слизовою та накладено шви

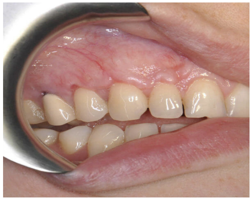
Стан пацієнта через 2 тижні